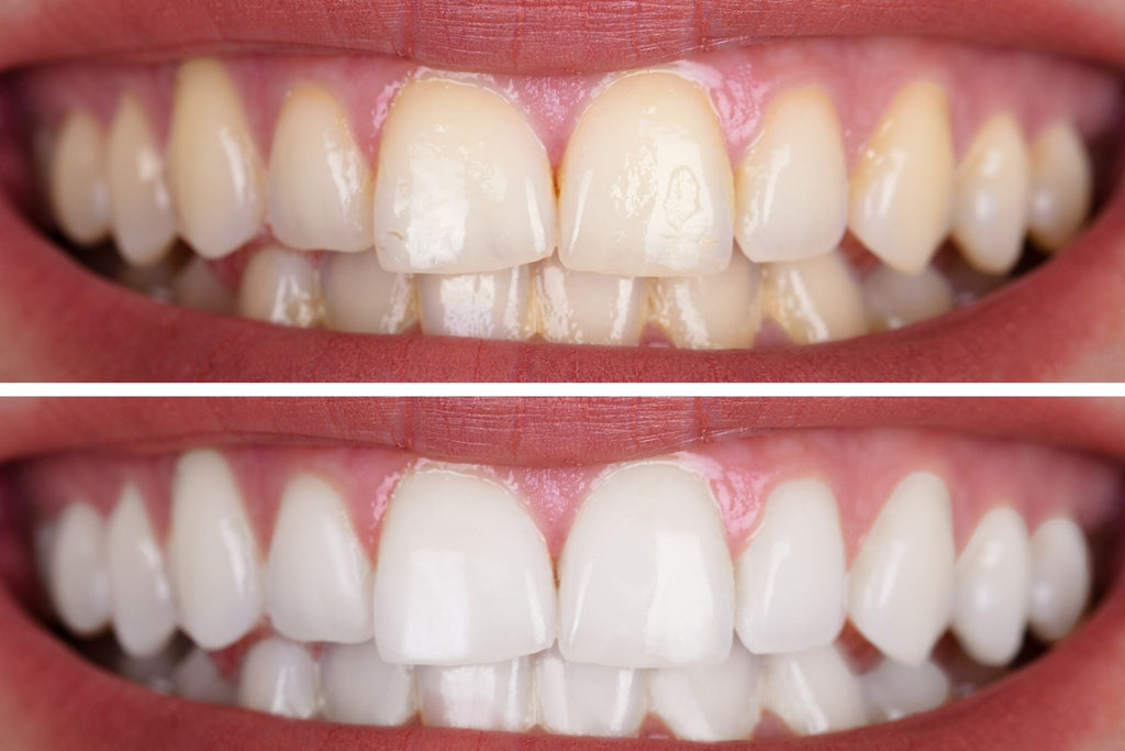
How To Get Rid Of Yellow Teeth

Let’s be honest few things knock your confidence like catching a glimpse of yellow teeth in the mirror.
You might brush twice a day, avoid sweets, and still notice your smile losing its brightness.
The truth is, yellowing isn’t always about poor hygiene.
Everyday habits like drinking coffee, tea, or red wine, natural ageing, and even the thickness of your enamel all play a role.
The good news?
A brighter smile is absolutely within reach. Advances in whitening technology mean you don’t have to settle for harsh DIY hacks or expensive in-clinic treatments.
With the right approach and the right products, you can remove stains safely, protect your enamel, and restore that fresh, confident smile you want to show off.
In this guide, we’ll break down exactly what causes yellow teeth, the most effective ways to tackle it, and how to maintain results long-term.
From daily habits that prevent staining to dentist-approved whitening solutions you can use at home, you’ll learn how to get rid of yellow teeth in a way that’s safe, effective, and sustainable.
Because when your smile is brighter, your confidence follows.
What Causes Yellow Teeth?
Yellow teeth don’t happen overnight. They’re the result of a mix of surface-level staining and deeper changes inside your teeth. Understanding the cause is the first step to choosing the right solution.
1. Surface Stains (Extrinsic Discolouration)
Caused by everyday foods and drinks like coffee, tea, red wine, dark sauces, and tobacco.
Stains build up on the enamel—the hard, outer layer of your teeth.
Good oral care slows this down, but pigments in these substances are strong enough to cling even to clean enamel.
2. Enamel Thinning (Intrinsic Discolouration)
Enamel naturally wears down with age, exposing more of the dentin beneath.
Dentin is naturally yellow in colour, so as enamel thins, teeth appear duller and more yellow.
Genetics also influence enamel thickness—some people are simply more prone to yellowing.
3. Plaque and Tartar Buildup
When plaque isn’t fully removed, it hardens into tartar, which traps stains and makes teeth look darker.
Tartar can’t be brushed away—it requires a dentist or hygienist to remove.
4. Medications and Medical Factors
Certain antibiotics (like tetracycline, especially in childhood) and high fluoride exposure can cause intrinsic discolouration.
Some illnesses and treatments (such as chemotherapy) may also alter tooth colour.
5. Lifestyle Factors
Smoking is one of the fastest ways to yellow teeth, as nicotine and tar penetrate enamel.
Poor hydration reduces saliva flow, which normally helps wash away stain-causing particles.
👉 Key takeaway: Yellow teeth can come from both surface stains you can clean away and deep discolouration that requires whitening. That’s why we created our Anti Stain Bundle which contains everything you need to remove stubborn stains fast and restore a bright smile.
How to Get Rid of Yellow Teeth. Daily At-Home Habits
You don’t need to overhaul your entire lifestyle to keep your smile brighter. Small, consistent habits at home can prevent stains from building up and even reduce mild yellowing over time.
1. Brush Twice Daily with a Whitening Toothpaste
Not all toothpastes are created equal. Standard formulas clean, but whitening toothpastes contain ingredients that lift surface stains and polish enamel without damaging it. Consistency here is key—results build up day by day.
👉 This is where a dentist-developed formula like Icy Bear’s Whitening Toothpaste stands out: it’s safe for enamel, gentle on sensitivity, and designed to target everyday staining.
2. Floss to Remove Hidden Stains
Food and plaque caught between teeth are stain magnets. Flossing once a day removes particles brushing can’t reach, reducing the risk of yellow streaks along the gumline.
3. Rinse or Drink Water After Staining Foods
Coffee, tea, red wine, curries—these all leave pigments behind. Rinsing your mouth with water or brushing shortly after can minimise how much colour settles on your enamel.
4. Use a Straw for Dark Drinks
It may feel strange, but drinking iced coffee or soda through a straw helps bypass your front teeth, reducing direct staining.
5. Limit Smoking and Vaping
Nicotine and tar penetrate enamel quickly, causing stains that are much harder to remove. Cutting down even slightly has a noticeable effect.
6. Regularly Refresh Your Routine
Replace toothbrushes every 3 months, and consider adding enamel-safe whitening powders or strips into your routine for a deeper refresh.
These habits don’t just prevent yellowing, they make professional whitening treatments last longer. Think of them as your foundation. Our Anti Stain Bundle contains all whitening products you need to deliver the real transformation.
Natural & DIY Methods: Do They Really Work?
If you’ve ever searched “how to whiten teeth naturally,” you’ve seen endless tips: baking soda scrubs, coconut oil pulling, apple cider vinegar rinses, even rubbing fruit peels on your teeth. Some of these methods can make a minor difference—but most come with serious drawbacks.
1. Baking Soda (Sodium Bicarbonate)
Works as a mild abrasive that can remove surface stains.
Problem: Overuse can wear down enamel, leading to sensitivity and a duller smile over time.
2. Coconut Oil Pulling
Swishing oil in your mouth is claimed to “pull toxins” and whiten teeth.
Reality: There’s little scientific evidence to support this. At best, it may reduce bacteria slightly, but it won’t lift deep stains.
3. Apple Cider Vinegar
Its acidity can dissolve surface stains temporarily.
Problem: Acid also erodes enamel, which makes teeth weaker and more prone to future staining.
4. Fruit Peels (Banana, Orange, Lemon)
Natural acids and minerals are said to brighten teeth.
Problem: Any effect is temporary, and repeated use damages enamel due to high acidity.
5. DIY Whitening Pastes
Many mixes use lemon juice, charcoal, or hydrogen peroxide.
Problem: Most are too abrasive or acidic, causing more harm than good if used regularly.
DIY methods may promise quick fixes, but most either don’t work or carry long-term risks. Enamel doesn’t grow back—once it’s gone, it’s gone.
That’s why dentist-developed, enamel-safe solutions matter.
Icy Bear Whitening Powder delivers the polishing effect people chase with baking soda—without the enamel damage.
Icy Bear Whitening Strips use professional-grade ingredients in safe concentrations, targeting deep stains that no DIY hack can reach.
When it comes to how to get rid of yellow teeth, safety and science will always outperform kitchen experiments.
Professional & At-Home Whitening Solutions
Once stains go beyond the surface, brushing and lifestyle changes won’t be enough. That’s where whitening treatments come in. Today, you have two main options: professional in-clinic whitening or dentist-approved at-home solutions.
1. Professional Whitening (In-Clinic)
How it works: Dentists use high-strength peroxide gels and sometimes laser activation to break down deep stains.
Pros: Fast, visible results in a single session.
Cons: Expensive (£300–£1,000+), often requires repeat visits, and can cause significant sensitivity.
Professional whitening is effective, but it isn’t always practical for people who want results without the clinic price tag.
2. Over-the-Counter Whitening Products
Supermarket whitening pens, strips, and toothpaste are widely available.
Problem: Many are underpowered (low active ingredient levels) or too harsh, leaving enamel at risk without delivering lasting results.
3. At-Home Dentist-Approved Whitening Kits
How they work: Use safe concentrations of peroxide or non-peroxide ingredients that penetrate enamel and lift deep stains.
Pros: Affordable, convenient, and designed for repeated use without harming enamel.
Cons: Require consistency (daily use over 1–2 weeks for best results).
This is where modern, dentist-developed products bridge the gap—giving you professional-level whitening without the clinic cost.
If you want fast, safe, and cost-effective whitening, skip the underpowered supermarket products and the overpriced clinic visits. Choose dentist-backed at-home whitening solutions that balance results with enamel safety.
How Long Does It Take to See Results?
Whitening isn’t instant—how quickly you see results depends on the type of stains, the method you choose, and how consistent you are. Setting the right expectations is key.
1. Surface Stains (from coffee, tea, red wine, smoking)
Can often be lifted within days to weeks using whitening toothpaste, powder, or strips.
Icy Bear Whitening Strips are clinically proven to deliver a visibly brighter smile in as little as 14 days, while the Whitening Toothpaste works gradually with daily use to polish away fresh stains.
2. Deeper Discolouration (from enamel thinning or long-term buildup)
Requires more intensive treatment—usually 2–4 weeks of consistent whitening.
Professional in-clinic whitening shows results immediately, but at-home dentist-developed kits can achieve similar outcomes over time with daily application.
3. Maintenance Whitening
Once stains are lifted, prevention is just as important as treatment.
Using Icy Bear Whitening Powder a few times a week and sticking with Whitening Toothpaste daily keeps enamel smooth, making it harder for stains to stick again.
Most people see a noticeable difference within 1–2 weeks with safe, dentist-approved whitening products, but lasting brightness comes from pairing initial whitening with ongoing maintenance.
Maintaining Your White Smile
Knowing how to get rid of yellow teeth is only half the battle. The real win is keeping your smile bright long after the initial results. Without the right habits, stains creep back quickly—undoing your progress. Here’s how to maintain your results:
1. Build Whitening Into Your Daily Routine
Use a whitening toothpaste twice daily to polish away new stains before they set in.
2. Add a Weekly Refresh
Think of whitening powder or strips like a reset button. Using them consistently once or twice a week keeps deeper stains from returning.
3. Tackle Stain-Causing Habits
Drink coffee, tea, and red wine through a straw when possible.
Rinse with water after meals and dark drinks.
Avoid smoking or vaping, as nicotine stains are among the hardest to reverse.
4. Keep Up With Dental Hygiene
Brush and floss daily to stop plaque and tartar from trapping pigments.
Book regular hygienist cleanings to keep enamel smooth and more resistant to staining.
5. Stay Consistent
Whitening isn’t a one-time fix—it’s a lifestyle shift. By combining smart habits with dentist-developed whitening products, you protect your results and keep your smile consistently fresh.
Conclusion: Take Control of Your Smile
Yellow teeth don’t have to be permanent.
Once you understand the causes—surface stains, enamel thinning, lifestyle habits you can tackle them with the right approach.
Daily care lays the foundation, but real results come from safe, science-backed whitening solutions that protect your enamel while lifting deep stains.
That’s exactly where Icy Bear’s Anti Stain Bundle comes in.
Developed with dentists and trusted by thousands, our products are designed to give you professional-level results at home without the clinic price tag or the risks of DIY hacks.
From Whitening Strips for fast results, to Whitening Toothpaste for daily stain defence, and Whitening Powder for a weekly refresh, we’ve built a system that works together to restore and maintain your brightest smile.
Because when your smile shines, your confidence follows.
👉 Ready to remove yellow teeth for good?
Explore the Icy Bear Anti Stain bundle today and start your journey to a brighter, whiter smile.


